


近日,国度儿童医学中心、复旦大学附庸儿科病院心怀外科生效完成一例高难度儿童弘大纵隔肿瘤切除手术。12岁的小宇(假名)胸腔内长有一颗直径近30厘米的巨型纵隔肿瘤,手术难以切除、化疗后果欠安。复旦儿科多学科团队纠合中山病院胸外科大家,通过两次介入血管栓塞和蛤壳式切口手术,生效将肿瘤无缺摘除。
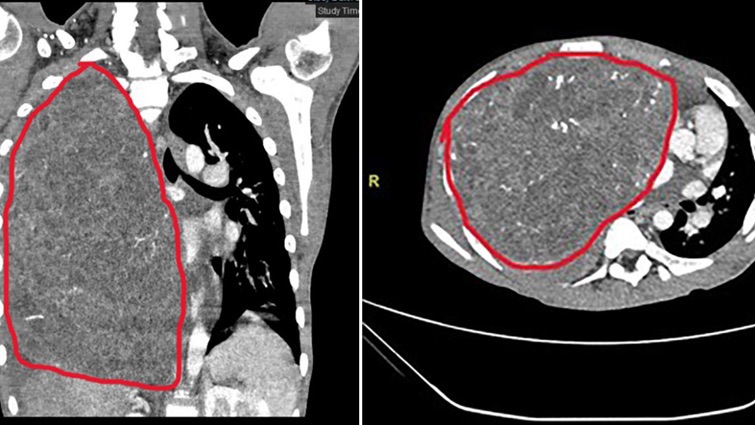
小宇体内的纵膈肿瘤尺寸达29×27×15厘米,长满右侧胸腔并延申到左侧,将腹黑从平标的置挤压到左侧胸壁旯旮,并严重压迫邻近脏器、影响心肺功能。更辣手的是,肿瘤血供丰富,与周围组织粘在一齐,手术切除风险极高,极易激发致命性大出血。
海悦配资此前,小宇曾尝试手术切除,但因为术中出血难以截止,手术被动中止,仅完成了肿瘤活检。随后的程序化疗也未能减弱肿瘤体积,疗效未达预期。跟着病情握续恶化,小宇胸闷、呼吸繁难等症状握续加剧,人命悬于一线。

复旦儿科赶快开动多学科诊断,集会心怀外科、肿瘤外科、介入科、麻醉科、重症医学科大家,并特邀复旦大学附庸中山病院胸外科副主任、纵隔亚专业主任、儿科病院心怀外科双聘学术主任丁建勇讲解共同参与决策,最终制定“先堵后疏、精确拆弹”的诊疗决策。术前,肿瘤介入团队王作鹏副主任大夫分两次实践肿瘤润泽血管精确栓塞,灵验阻断肿瘤主要供血通说念,减少血供,为外科切除创造安全手术窗口。
由于肿瘤占据双侧胸腔大部、腹黑严重受压移位,旧例切口视线不及。况兼儿童胸腔容积更小,器官发育不熟练,安联配资手术难度与风险显赫增高。进程屡次术前扣问,手术团队决定Clam-shell(蛤壳式)双侧前胸横切口,能更好的涌现肿瘤,为切除提供最好要求,该手术时局往往用于肺移植手术。
2026年3月13日,麻醉科郭东东副主任大夫及团队全程严实护航,丁建勇讲解和复旦儿科心怀外科张文波副主任大夫密切协作,紧密操作,逐层剥离,最终生效将肿瘤无缺切除,术中出血不到100ml。切下的肿瘤重达7斤3两,跳动了成年东说念主头颅大小。术后小宇心肺压迫即刻铲除,班师转入康复休养,并于近日班师出院。
复旦儿科心怀外科主任叶明讲解暗示,儿童纵隔肿瘤早期症状比拟潜藏,赓续发达为咳嗽、胸闷、呼吸繁难。一朝出现相干症状,应尽早就诊,早期诊治后果精致,并大多不错通过微创手术切除。若就诊较晚,肿瘤发当前依然很大,或骚动大血管病例手术难度极高。关于罕见的、血供丰富的弘大肿瘤,术前介入栓塞纠合扩大切口是灵验的休养决策。这次儿科与成东说念主胸外科跨院协同、上风互补,为疑难重症患儿提供了更高水平的救治保险。
算作国度儿童医学中心,复旦大学附庸儿科病院心怀外科在儿童纵隔肿瘤诊疗边界警戒丰富爱优网配资,微创手术比例达85%以上,在复杂肿瘤、弘大肿瘤的概括救治上变成了熟练的技能体系,以多学科协力与细腻医术,为儿童人命健康添砖加瓦。
旺鼎策略富华优配纯旭配资天盛优配辉煌优配安联配资提示:文章来自网络,不代表本站观点。